Zum Hauptinhalt springen

Frankfurter Str. 31 in 63150 Heusenstamm

06104 65 112| info@zahngesundheit-heusenstamm.de

Ästhetische Zahnheilkunde – Ihr Weg zum strahlenden Lächeln

Kontaktieren Sie uns für eine individuelle Beratung und vereinbaren Sie noch heute Ihren nächsten Termin für eine umfassende zahnärztliche Betreuung.

Einleitung in die ästhetische Zahnheilkunde

Bedeutung von Zahnästhetik für Lebensqualität

Ein schönes Lächeln steht für Gesundheit Selbstbewusstsein und Lebensfreude. Die moderne ästhetische Zahnheilkunde bietet innovative Lösungen für Verfärbungen Zahnlücken und Formkorrekturen. Ziel ist ein natürliches harmonisches Lächeln das Ihr Wohlbefinden nachhaltig steigert.

Entwicklung ästhetischer Verfahren in Heusenstamm

Unsere spezialisierte Abteilung in Heusenstamm vereint langjährige Erfahrung mit modernster Technik. Maßgeschneiderte Konzepte verbinden Funktion und Ästhetik und machen unsere Praxis zu einer führenden Adresse für Zahnschönheit im Raum Offenbach und Frankfurt.

Vorstellung der spezialisierten Abteilung für ästhetische Zahnheilkunde

Standort und Erreichbarkeit in Heusenstamm

Die Praxis liegt zentral in Heusenstamm und ist bequem mit Auto oder öffentlichen Verkehrsmitteln erreichbar. Parkmöglichkeiten und Barrierefreiheit sorgen für einen entspannten Besuch auch für Patienten aus der gesamten Metropolregion.

Philosophie und Werte Individualität und Präzision

Jeder Mensch ist einzigartig. Deshalb setzen wir auf individuelle Beratung präzise Planung und transparente Kommunikation. Vertrauen Ehrlichkeit und höchste Behandlungsqualität bilden die Basis unseres Handelns.

Unser erfahrenes Team Kompetenz und Beratung

Fachärztliche Expertise und Fortbildungen

Unser Team verfügt über umfassende Spezialisierungen in der ästhetischen Zahnmedizin. Regelmäßige Fortbildungen und der Austausch mit Experten sichern moderne sichere und bewährte Behandlungsmethoden.

Individuelle Beratung und Betreuung

Vor jeder Behandlung analysieren wir Ihre Zahnsituation ausführlich und erstellen einen persönlichen Therapieplan. Von der ersten Beratung bis zur Nachsorge begleiten wir Sie kompetent und einfühlsam.

Bleaching Professionelle Zahnaufhellung für Ihr Lächeln

Methoden und Innovationen beim Bleaching

Modernes Bleaching entfernt Verfärbungen durch Kaffee Tee Rotwein oder Nikotin effektiv und schonend. Wir bieten sowohl In Office Bleaching unter zahnärztlicher Kontrolle als auch Home Bleaching mit individuellen Schienen an. Das Ergebnis ist sofort sichtbar und sorgt für ein frisches jugendliches Erscheinungsbild.

Ablauf Sicherheit und Nachsorge

Nach einer gründlichen Untersuchung und professionellen Zahnreinigung wird das Bleaching Gel gezielt aufgetragen. Unsere Verfahren sind sicher für Zahnschmelz und Zahnfleisch. Individuelle Pflegehinweise helfen das Ergebnis langfristig zu erhalten.

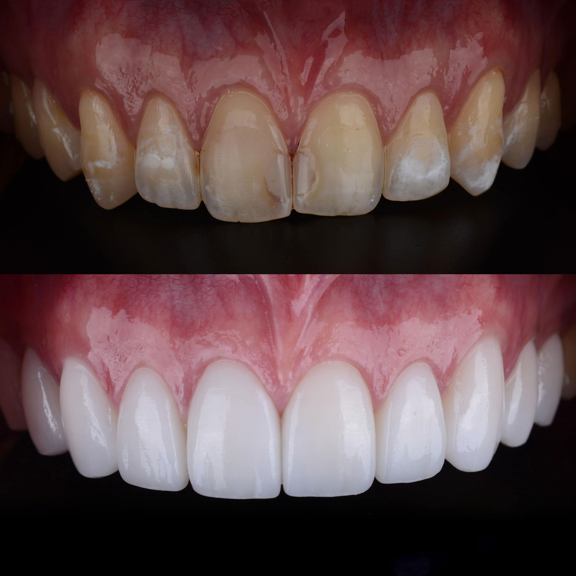
Veneers Perfekte Zahnästhetik durch Keramikschalen

Was sind Veneers Vorteile und Einsatzbereiche

Veneers sind hauchdünne Keramikschalen die auf die Vorderseite der Zähne geklebt werden. Sie korrigieren Verfärbungen kleine Lücken abgebrochene Ecken oder leichte Fehlstellungen. Das Ergebnis wirkt natürlich langlebig und ästhetisch hochwertig.

Behandlungsschritte und Haltbarkeit

Nach minimaler Vorbereitung fertigen wir mittels digitaler Abformung und CAD CAM Technik passgenaue Veneers an. Diese werden dauerhaft befestigt und sind sofort belastbar. Bei guter Pflege halten sie viele Jahre und bleiben farbstabil.

Non Prep Veneers Minimalinvasive Ästhetik

Unterschiede zu klassischen Veneers

Non Prep Veneers benötigen kaum oder gar keinen Substanzabtrag. Die dünnen Keramikschalen werden direkt auf die natürliche Zahnoberfläche geklebt und eignen sich besonders für gesunde Zähne mit optischen Makeln.

Ablauf und Vorteile der Non Prep Veneers

Die Behandlung ist schnell schmerzfrei und besonders schonend. Vorteile sind maximale Zahnerhaltung natürliche Optik und sofort sichtbare Ergebnisse.

Individuelle Zahnästhetik Maßgeschneiderte Lösungen

Analyse der Zahnform Farbe und Stellung

Mit moderner Diagnostik analysieren wir Form Farbe und Stellung Ihrer Zähne. So entwickeln wir ein individuelles Konzept das perfekt zu Ihrem Gesicht und Ihren Wünschen passt.

Digitale Planung und Simulation

Digitale Simulationen zeigen Ihnen vorab wie Ihr neues Lächeln aussehen kann. Sie erhalten eine realistische Vorschau und können das Ergebnis aktiv mitgestalten.

Ästhetische Korrekturen Mehr als nur weiße Zähne

Zahnumformung und Lückenverschluss

Mit hochwertigen Kompositmaterialien passen wir Form und Farbe Ihrer Zähne präzise an und schließen kleine Lücken schnell und schonend.

Korrektur von Fehlstellungen und Zahnfleischästhetik

Leichte Fehlstellungen lassen sich mit Alignern oder Veneers korrigieren. Auch das Zahnfleisch kann für ein harmonisches Gesamtbild ästhetisch angepasst werden.

Zahngesundheit und Ästhetik Ganzheitlicher Ansatz

Verbindung von Funktion und Schönheit

Ästhetik und Funktion gehören zusammen. Jede Behandlung wird so geplant dass Kaufunktion und Zahngesundheit erhalten oder verbessert werden.

Langfristige Zahnerhaltung durch ästhetische Maßnahmen

Hochwertige Materialien und präzise Technik sorgen für langlebige Ergebnisse ohne die natürliche Zahnsubstanz zu beeinträchtigen.

Materialien und Technologien in der ästhetischen Zahnheilkunde

Keramik Komposit und moderne Werkstoffe

Wir verwenden ausschließlich biokompatible langlebige Materialien die natürliche Ergebnisse ermöglichen und höchste Sicherheit bieten.

Digitale Abformung und CAD CAM Technik

Digitale Abformungen und computergestützte Fertigung sorgen für maximale Präzision Komfort und passgenaue Restaurationen.

Nachhaltigkeit und Hygiene bei ästhetischen Behandlungen

Umweltfreundliche Materialien

Ressourcenschonende Prozesse und nachhaltige Materialien schützen Umwelt und Gesundheit gleichermaßen.

Hygienestandards und Patientensicherheit

Strenge Hygienerichtlinien geprüfte Instrumente und regelmäßige Kontrollen gewährleisten höchste Sicherheit bei jeder Behandlung.

Patientenbeispiele und Vorher Nachher Ergebnisse

Erfahrungsberichte und Erfolgsgeschichten

Viele Patienten berichten von mehr Selbstbewusstsein und Lebensqualität nach ästhetischen Behandlungen. Erfolgsgeschichten zeigen eindrucksvoll die positiven Veränderungen.

Fotodokumentation und Transparenz

Eine transparente Fotodokumentation begleitet jede Behandlung damit Sie den Fortschritt nachvollziehen und das Ergebnis realistisch einschätzen können.

Kosten Finanzierung und Transparenz

Preisstruktur und Kostenvoranschläge

Vor Beginn erhalten Sie eine klare und detaillierte Kostenübersicht. So haben Sie volle Planungssicherheit ohne versteckte Gebühren.

Finanzierungsmöglichkeiten und Ratenzahlung

Flexible Finanzierungsmodelle und Ratenzahlung machen hochwertige ästhetische Behandlungen für Sie planbar und zugänglich.

Online Terminbuchung und digitale Services

Vorteile der Online Buchung

Buchen Sie Ihren Termin jederzeit bequem online und erhalten Sie sofort eine Bestätigung. Schnell einfach und zeitsparend.

Digitale Kommunikation und Patientenservice

Per E Mail Chat oder Telefon stehen wir Ihnen jederzeit für Fragen Beratung und Terminabstimmungen zur Verfügung.

Häufig gestellte Fragen zur ästhetischen Zahnheilkunde

Ist Bleaching schädlich für die Zähne?

Nein, professionelle Bleaching-Verfahren sind sicher und schonend, wenn sie unter zahnärztlicher Kontrolle durchgeführt werden.

Wie lange halten Veneers?

Veneers halten bei guter Pflege oft zehn Jahre und länger. Regelmäßige Kontrollen helfen, die Haltbarkeit zu maximieren.

Was kosten Non-Prep Veneers?

Die Kosten variieren je nach Anzahl und Material. Wir erstellen einen individuellen Kostenvoranschlag nach Beratung.

Kann jeder Veneers bekommen?

Fast jeder kann Veneers erhalten, sofern die Zähne gesund sind. Wir prüfen Ihre Zahnsituation individuell und beraten Sie ausführlich.

Wie läuft die Beratung ab?

Die Beratung umfasst eine Analyse Ihrer Wünsche, eine Untersuchung und eine digitale Simulation des möglichen Ergebnisses.

Gibt es Risiken bei ästhetischen Behandlungen?

Risiken sind selten und werden durch sorgfältige Planung und hochwertige Materialien minimiert. Wir klären Sie umfassend auf.

Interesse geweckt?


Buchen Sie jetzt Ihren Termin für ein strahlendes Lächeln.