Veneers
Veneers ermöglichen eine schonende und ästhetische Korrektur von Zahnform, Zahnfarbe und kleinen Fehlstellungen für ein natürlich schönes Lächeln.
Unsere Leistungen im Bereich Veneers
Mit individuell angefertigten Veneers verhelfen wir Ihnen zu einem harmonischen, strahlenden Lächeln – präzise geplant, minimalinvasiv umgesetzt und ästhetisch auf höchstem Niveau.
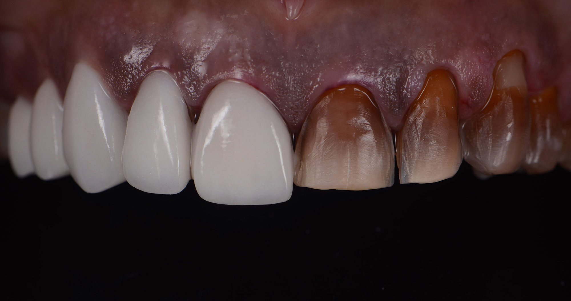
Veneers sind hauchdünne Keramikschalen, die dauerhaft auf die sichtbare Vorderseite der Zähne aufgebracht werden. Sie eignen sich ideal zur Korrektur von Verfärbungen, kleinen Zahnlücken, unregelmäßigen Zahnformen oder leichten Fehlstellungen, ohne die natürliche Zahnsubstanz unnötig zu belasten.
In unserer Praxis legen wir besonderen Wert auf eine ausführliche ästhetische Analyse, eine individuelle Farbabstimmung sowie eine präzise Planung. So stellen wir sicher, dass sich die Veneers harmonisch in Ihr natürliches Zahnbild einfügen und sowohl funktional als auch optisch überzeugen.
-
Keramikveneers
Keramikveneers gelten als die hochwertigste Lösung in der ästhetischen Zahnheilkunde. Sie zeichnen sich durch ihre natürliche Lichtdurchlässigkeit, hohe Farbbrillanz und lange Haltbarkeit aus und sorgen für ein besonders authentisches Ergebnis.
-
Non-Prep Veneers
Non-Prep Veneers ermöglichen eine ästhetische Optimierung der Zähne ohne oder mit minimalem Beschleifen der Zahnsubstanz. Diese besonders schonende Methode eignet sich bei optimalen Voraussetzungen und bewahrt die natürliche Zahnstruktur weitestgehend.
-
Veneers zur Form- und Farbkorrektur
Veneers bieten vielfältige Möglichkeiten zur individuellen Anpassung von Zahnform, Länge und Farbe. Dadurch lassen sich selbst komplexe ästhetische Wünsche präzise umsetzen und das gesamte Lächeln sichtbar aufwerten.
Interesse geweckt?
Buchen Sie jetzt Ihren Termin für ein strahlendes Lächeln.


