Zum Hauptinhalt springen

Frankfurter Str. 31 in 63150 Heusenstamm

06104 65 112| info@zahngesundheit-heusenstamm.de

Zahnersatz

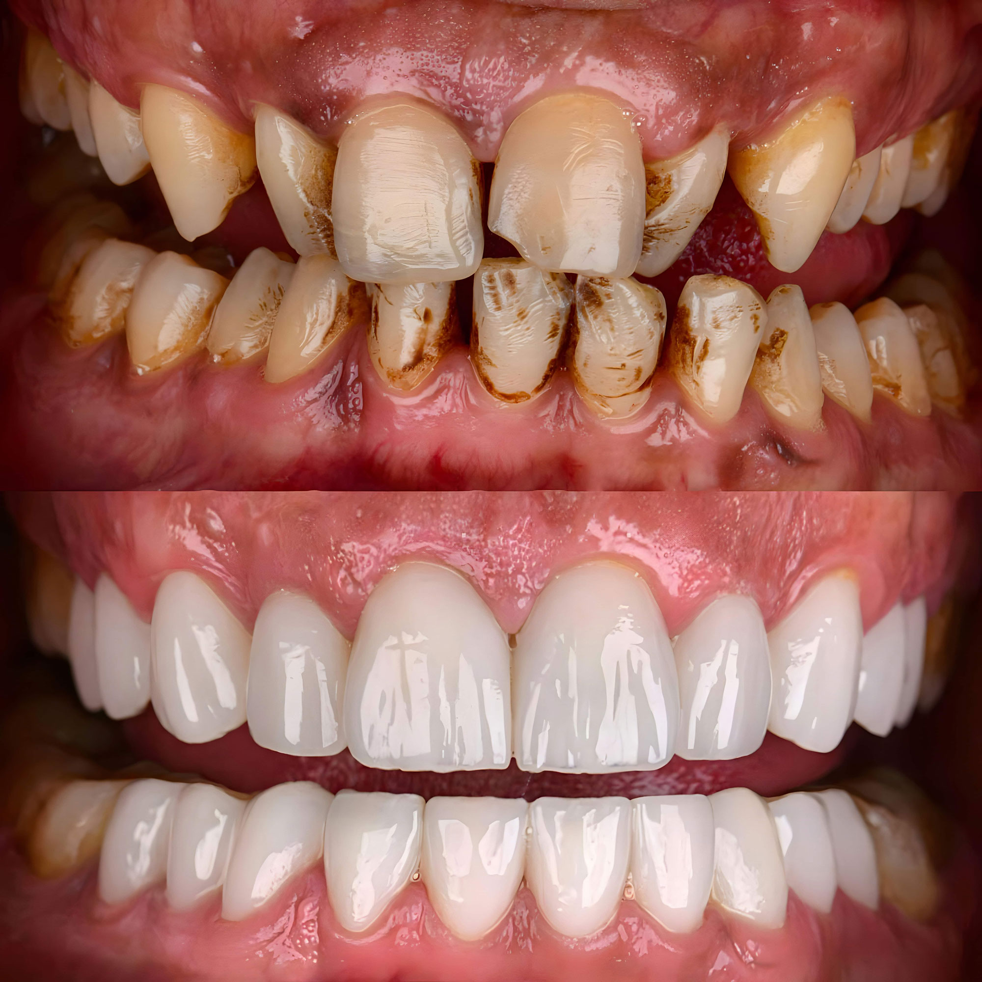
Hochwertiger Zahnersatz stellt Funktion, Ästhetik und Stabilität Ihrer Zähne zuverlässig wieder her und sorgt für ein sicheres Gefühl im Alltag.

Unsere Leistungen im Bereich Zahnersatz

Individuell gefertigter Zahnersatz ermöglicht ein natürliches Kaugefühl, eine harmonische Optik und langfristige Versorgung auf höchstem zahnmedizinischem Niveau.

Zahnersatz kommt immer dann zum Einsatz, wenn Zähne durch Erkrankungen, Unfälle oder Abnutzung nicht mehr vollständig erhalten werden können. Ziel ist es, die natürliche Funktion des Gebisses wiederherzustellen und gleichzeitig ein ästhetisches Erscheinungsbild zu gewährleisten.

In unserer Praxis planen wir jede Versorgung individuell und präzise. Dabei berücksichtigen wir sowohl funktionelle als auch ästhetische Aspekte und setzen auf moderne Materialien sowie bewährte zahntechnische Verfahren, um langlebige und komfortable Lösungen zu schaffen.

  • Kronen und Brücken

    Kronen und Brücken ersetzen geschädigte oder fehlende Zähne zuverlässig. Sie bieten hohe Stabilität, eine natürliche Optik und fügen sich harmonisch in das bestehende Zahnbild ein.

  • Herausnehmbarer Zahnersatz

    Herausnehmbare Lösungen wie Teil- oder Vollprothesen ermöglichen eine funktionale Versorgung bei größeren Zahnlücken. Moderne Materialien sorgen dabei für verbesserten Halt, hohen Tragekomfort und ein ästhetisches Ergebnis.

  • Implantatgetragener Zahnersatz

    Implantatgetragener Zahnersatz kombiniert festen Halt mit natürlicher Funktion. Diese Versorgungsform bietet eine besonders stabile und langlebige Lösung und kommt dem natürlichen Zahngefühl sehr nahe.

Interesse geweckt?


Buchen Sie jetzt Ihren Termin für ein strahlendes Lächeln.